
ţƤѢÖ÷ÒªµÄΣº¦
À´Ô´£º³É¶¼Òø¿µÒøÐ¼²¡Ò½Ôº ʱ¼ä£º2017-12-12
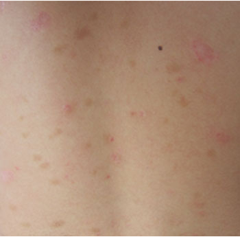
ţƤѢÖ÷ÒªµÄΣº¦£¡Ã¿µ±ÎÒÃÇÌᵽţƤѢ¾ÍÓкܶàÈ˶¼»áÖåÆðüͷ£¬Å£Æ¤Ñ¢¼²²¡¶ÔÎÒÃÇÀ´ËµÊÇÊ®·ÖµÄÈÃÎÒÃÇÑá¶ñÒ»ÖÖ¼²²¡¡£ÕâÖÖţƤѢ¼²²¡»áÑÏÖØÓ°ÏìÁËÎÒÃǵĽ¡¿µÉú»î¡£ËùÒÔ£¬ÎÒÃÇÔÚÉú»îÉÏÒªºÃºÃµÄÔ¤·ÀţƤѢµÄ·¢Éú¡£³É¶¼Å£Æ¤Ñ¢Ò½ÔºÒ½Ê¦½éÉܵ½£º

>>>ÍÆ¼öÔĶÁ£ºÅ£Æ¤Ñ¢ÐèҪעÒâʲôÒûʳ<<<
Σº¦Ò»¡¢»¹·¢ÉúÀà·çʪÐԹؽÚÑ×Ö¢×´¡£ÁÙ´²±íÏÖÓйؽÚÖ×´óÌÛÍ´£¬»î¶¯ÊÜÏÞ£¬³¿½©£¬ÉõÖÁ¹Ø½Ú»ýÒº»ò±äÐΡ£³¤¾ÃÒԺ󣬹ؽڿÉÒÔǿֱ.XÏß¼ì²ì³ÊÀà·çʪÐԹؽÚÑ׸ı䣬µ«Àà·çʪÒò×Ó¼ì²ìÒõÐÔ¡£ÓеϼÕßѪ³Á¿ÉÒÔÔö¿ì£¬²¢¿É°éÓз¢ÈȵÈÈ«ÉíÖ¢×´¡£¹Ø½Ú²¡ÐÍţƤѢ²¡³ÌÂýÐÔ£¬ÍùÍù¾ÄêÀÛÔ¶ø²»Òס£
Σº¦¶þ¡¢»áµ¼Ö»¼Õß µ°°×ÖÊÒÔ¼°ÆäËûµÄÓªÑøÎïÖÊÒÅʧ¡£ÓÉÓÚţƤѢ´óÁ¿ÍÑм£¬¹¹³ÉƤ·ôµÄµ°°×ÖÊ¡¢Î¬ÉúËØ¼°Ò¶ËáµÈÎïÖÊËæÖ®ÒÅʧ¡£ÈôƤËðǨÑÓ¶àÄê²»ÓúÇÒ·º·¢È«Éí£¬»áµ¼Öµ͵°°×Ѫ֢¡¢ÓªÑø²»Á¼ÐÔÆ¶Ñª¡£ÁÙ´²±íÏÖΪ·¦Á¦¡¢¾ëµ¡¡¢ÃæÉ«²Ô°×£¬Ò×ÓÚ¸ÐðµÈţƤѢ֢״¡£
Σº¦Èý¡¢»áµ¼ÖÂÈ«ÉíË𺦺ͼ̷¢¸ÐȾ±íÏÖΪÖÜÉíÆ¤·ôÃÖÉ¢ÐÔ³±ºì¡¢°µºì£¬Ö×ÕÍ»ò°éÓÐÉø³ö£¬±íÃæ¸²ÓдóÁ¿ôïÆ¤ÑùÁÛм¡£»¼Õß°éÓÐÍ·Í´¡¢·¢ÈÈ¡¢Î·º®µÈÈ«Éí²»ÊÊ£¬Ç³±íÁܰͽáÖ״󣬰×ϸ°û¼ÆÊýÔö¸ß¡£ÈôûÓм°Ê±ÕýÈ·´¦Àí£¬¼«Ò×Ôì³ÉËÀÍö¡£ÓÉÓÚÆ¤ËðÃæ»ý´ó£¬Ï¸¾úÒ×ÓÚÇÖÈ룬»áµ¼Ö°ÜѪ֢¶øËÀÍö£»ÓÉÓÚѪҺճ³í¶ÈÔö¸ß¡¢ÑªÈÝÁ¿²»×ãµÈ£¬µ¼ÖÂÐÄÁ¦Ë¥½ß¶øËÀÍö£»Òà¿ÉÓÉÓڸΡ¢Éö¹¦ÄÜË¥½ß¶øµ¼ÖÂËÀÍö¡£
ţƤѢÖ÷ÒªµÄΣº¦£¡ÏÖÔÚ´ó¼Ò¶ÔţƤѢµÄΣº¦ÓÐÁË´óÖµÄÈÏʶ£¬Ï£Íû¶Ô¹ã´óÅóÓÑÓÐËù°ïÖú£¬Ò»µ©ÄãÒ²»¼ÁËţƤѢµÄ»¼Õߣ¬Ç§Íò²»Òª²»¾ÃÍϲ»ÖλáÑÏÖØµ¼Ö²¡Çé¶ñ»¯£¬ÒÔÃâµ¢ÎóÁËÖÎÁÆÅ£Æ¤Ñ¢µÄʱ»ú¡£

Ïà¹ØÔĶÁ

24Сʱ×Éѯµç»°£º02886129902 QQÔÚÏß×Éѯ£º1144000342 ±¾Õ¾Ìá¹©ÍøÂçÔÚÏß×Éѯ
ÍøÕ¾ÐÅÏ¢½ö¹©²Î¿¼£¬²»ÄÜ×÷ΪÕï¶Ï¼°Ò½ÁƵÄÒÀ¾Ý£¬
¾ÍÒ½Çë×ñÕÕÒ½ÉúÕï¶Ï£¬±¾Õ¾ËùÓл½âÊÍȨ¹é³É¶¼Òø¿µÒøÐ¼²¡Ò½ÔºËùÓÐ
Ò½ÔºµØÖ·£º³É¶¼ÊÐÇàÑòÇø½õÀïÖз18ºÅ£¨²ÊºçÇŸ½½ü£¬ÔÓʵç±ö¹Ý£©£© ,³Ë×ø341·, Ôڰ˱¦½ÖÕ¾ ϳµ,³Ë×ø57·£¨»ò109·£©,ÔÚ ÎÄÎÌ·վϳµ









