
牛皮癣进行期的症状特点有什么
来源:成都银康银屑病医院 时间:2013-12-06
牛皮癣进行期的症状特点有什么?牛皮癣是一种复杂的顽固的皮肤疾病,由于引发的因素还尚不明确,治疗起来就相当的困难,牛皮癣根据其病情发展的特点分为进行期、静止期、消退期三个阶段。下面成都银康银屑病医院的专家就来为大家讲解一下:

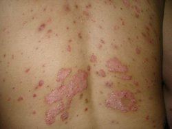
牛皮癣属于一种皮肤不美观的疾病,它的进行期是皮损的急性进展阶段,具体表现不尽相同:有的患者皮损突然爆发,短期内即可布满全身,但很快会转入牛皮癣稳定期,皮损不再发展蔓延;有的牛皮癣患者的进行期则持续时间较长,不断出现少量新的皮损,原有的皮损或缓慢的持续发展,或停止发展而处于静止状态,甚至有少量皮损可能会出现逐渐消退。【银屑病不同部位的症状及表现是什么】
随着时间一天天的过去了,当然病情也不断的恶化,新的皮损不断出现,原有的皮损也可以不断扩大,一般皮损炎症比较明显,常表现为鲜红色,上面覆盖有疏松的、容易脱落的银白色鳞屑,皮损的周边常有一圈红晕,这就是牛皮癣进行期的基本特点。
在生活中患者要积极的锻炼身体,提高自己的免疫能力,科学的生活,合理的搭配饮食,同时保持好的心态,让自己放轻松,积极的面对人生,保持好的信心,从而远离牛皮癣的病因,让自己拥有好的身体,保证自己的健康,找到合适自己的治疗方案,给每一位患者提供优质的服务,帮助患者早日的恢复健康。
温馨提示:2013年10月24日,由世界自然医学联合总会主办的“2013第七届世界自然医学学术大会暨国际皮肤病临床技术新进展高峰论坛”在中国南京召开,我院是湖北省首个入选“医共体”的公立医院,本着“以科研资质为导向,以技术实力为要求”的科研宗旨,加入“医共体”后,我院将继往开来,充分发挥自身的优势,为银屑病诊疗科研增添动力。

上一篇:牛皮癣如何才能更好地止痒 下一篇:牛皮癣瘙痒难耐该怎么办










